-
폐렴은 폐에 염증이 생긴 것으로 다양한 원인으로 발생할 수 있습니다. 또한 폐렴은 모든 연령대에서 발생할 수 있는 질환입니다. 폐렴에 대해 궁금하시거나, 열이나고 아파서 힘드신 분들을 위해 쉽게 설명드립니다. 지금 한번 알아보세요.
폐렴 증상
평소에 건강했던 사람이 가벼운 폐렴에 걸리면 감기처럼 쉽게 지나갈 수 있어요. 하지만 면역력이 약한 어린이나 어르신들은 심한 폐렴으로 진행되어 생명까지 위험 해 질 수 있습니다.
모든 질병은 면역력이 높으신 분들이 병에 걸려도 쉽게 낫고 빨리 낫는 것을 볼 수 있어요. 평소 면역력이 낮으신 분들이라면 면역력을 높이기 위해 노력을 하시는 것이 중요합니다.
기침
폐렴의 가장 흔한 증상 중 하나는 기침입니다. 폐렴 증상으로 마른 기침이 계속 나올 수도있고, 끈적끈적하고 진한 가래가 같이 나올 수도 있습니다. 그리고 폐렴으로 폐가 약해져 있기 때문에 기침을 하다가 피가 나올 수도 있어요.
열
폐렴은 폐에 염증이 생긴 것 이기 때문에 염증으로 열이 날 수 있어요. 37.5 ~ 38도 정도로 미열이 있을 수 있고 39도 ~ 40도로 높은 열이 날 수도 있습니다.
열이 나기 전에 온몸이 춥고 떨리는 오한 증상도 나타나죠. 이런 오한 증상 후에는 열이 날 가능성이 매우 높으니 오한증상이 있을 때는 몸을 따뜻하게 해주시는 것이 좋습니다.



가슴통증
깊게 숨을 들이 마시거나 기침을 할 때 가슴에 통증이 느껴질 수 있어요. 명치 근처에서 통증이 나타날 수 있습니다.
피로감
전반적으로 컨디션이 떨어지고 몸살처럼 온몸이 아플 수 있어요. 평소보다 몸이 더 피로하고 힘들게 느껴지며 일상생활을 계속 할 힘이 부족하다고 느낄 수 있습니다.
몸이 아프고 피곤하고 힘들면 쉽게 지치고 아픈 뒤에는 일상으로 회복하기도 힘들어요. 평소에 충분한 영양섭취와 함께 영양제 복용으로 몸의 에너지를 올리는 것도 중요합니다.
폐렴이란?
정상적인 폐는 우리몸을 다양한 미생물, 바이러스, 세균 등으로부터 자신을 지키지만 면역력이 낮아지면 폐에 염증이 생기는 것을 막지 못해요. 그래서 폐에 염증이 생기는데 이것이 바로 폐렴입니다.
대부분의 폐렴은 바이러스나 세균 때문에 생기지만 가끔은 곰팡이나 기생충 때문에 생기기도 해요. 또한 독감이나 코로나 바이러스 때문에 폐렴이 생기기도 합니다.



폐렴 검사
의사 선생님이 청진기를 통해 폐의 숨소리를 들으면서 비정상적인 숨소리가 들리는지, 폐에 물이 차 액체가 있는 소리가 들리는지를 확인해요.
평소에는 비어있는 관에 공기가 들어오고 나가는 소리가 들리지만 기관지나 폐에 문제가 생기면 쌕쌕거리는 소리, 날숨이 뻑뻑하게 오가는 소리, 가래가 잔뜩 껴있어 답답한 소리가 들립니다.
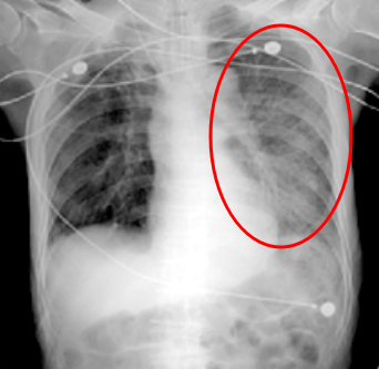
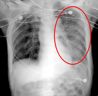
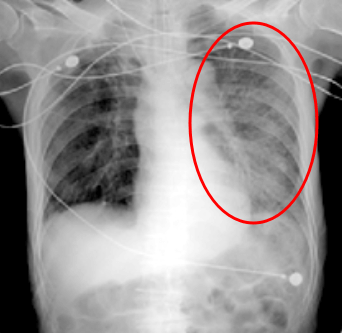
그리고 x레이 촬영으로 폐에 염증이 있는지 확인을 합니다. 폐는 공기가 왔다갔다 하기 때문에 x레이 촬영을 하면 검게 보이는데 폐에 염증이 생기거나 물이차면 폐가 하얗게 보이죠.

빨간 동그라니 부분이 폐렴. 출처: 질병관리청 또는 폐 CT 촬영을 통해 조금 더 자세히 볼 수 있는데 CT검사를 통해 폐렴의 정확한 위치와 범위 등을 확인할 수 있습니다.
객담검사는 가래를 모아 폐렴이 생긴 원인균을 찾는 검사로 가래를 모아 원인균을 찾아요. 객담검사는 아침에 일어나자마자 양치도 안한 상태에서 가래를 받아주시는게 좋습니다.
밤동안 가래가 모여 농축된 상태에서 가래를 받아주시면 정확도가 높고 가래가 아니라 침을 뱉어 오시면 검사 결과가 나오지 않아요.
폐렴 치료
폐렴의 원인에 따라 치료 방법도 달라지는데 객담검사를 통해 원인균을 확인했다면 그에 맞는 항생제를 쓰는 것이 좋습니다. 균의 종류에 따라 효과가 좋은 항생제가 다르기 때문이죠.
또한 가래가 많다면 가래는 없애는 거담제를 사용하고 열이나면 해열제나 진통제로 열과 통증을 줄일 수 있어요. 약을 통해 힘든 증상을 줄여줄 수 있습니다.
또한 폐렴은 충분한 휴식과 함께 물을 많이 마시고 가래를 잘 뱉어내는 것으로 치료에 도움이 돼요. 가래를 잘 뱉어내는 것이 치료에 도움이 되기 때문에 기침을 억제하는 약은 신중히 사용해요.
폐렴은 막을 수는 없지만 폐렴의 위험을 낮출 수 있는 방법은 있어요. 바로 독감 예방접종과 폐렴구균백신 접종입니다. 독감 바이러스가 폐렴이 생기도록 만들 수 있고 독감의 합병증으로 폐렴이 생길 수 있습니다.
그래서 매년 독감접종을 하는 것이 좋아요.
폐렴구균은 폐렴이 생기도록 만드는 원인균 중 하나로 예방접종을 하는 것 만으로도 위험성을 낮출 수 있습니다. 물론 독감 예방접종과 폐구균백신 접종으로 100% 폐렴을 예방할 수 있는 것은 아닙니다.
하지만 접종을 통해 위험율을 낮출 수 있다면 접종을 통해 최대한 예방하는 것이 훨씬 효과적입니다.
폐렴을 예방하기 위해서는 평소 면역력 관리를 잘 하는 것이 중요해요. 손을 자주 씻고, 사람이 많이 모이는 곳을 피하는 것도 방법입니다. 물론 독감, 폐구균 예방접종도 하면 좋습니다.



Q&A
폐렴은 어린이만 걸리는 것이 아닌가요?
폐렴은 어린이와 65세 이상의 어르신들이 많이 걸려요. 특히 어르신들이 폐렴에 걸릴 경우 사망까지 갈 수 있어 치명적입니다.
감기가 심해지면 폐렴이 되는 건가요?
대부분 감기는 감기바이러스 때문에 걸리는 것으로 폐렴으로 넘어가지는 않아요. 하지만 드물게 폐렴이 될 수 있습니다. 폐렴의 초기 증상이 감기와 비슷 해 감기가 폐렴이 된 것으로 느껴지실 수 있어요.
폐렴을 예방할 수 있나요?
폐렴을 100% 예방할 수 있는 방법은 없습니다. 하지만 손씻기와 면역력관리, 개인위생, 독감 예방접종, 폐구군예방접종을 통해 폐렴에 걸릴 위험을 낮출 수는 있습니다.
마무리
폐렴은 폐에 염증이 생기는 질환으로 원인은 다양할 수 있습니다. 폐렴에 걸린 원인에 따라 치료방법이 달라질 수 있으며 평소 면역력 관리를 통해 폐렴이 가볍게 지나가도록 하는 것이 좋습니다.
손씻기와 면역력 관리를 통해 폐렴에 걸릴 확율을 낮추고 폐렴에 걸리더라도 빠르게 회복할 수 있도록 평소 건강 관리에 신경쓰는 것을 추천드립니다.















'건강' 카테고리의 다른 글
결핵 검사 방법 통해 결핵인지 정확히 확인하기 (0) 2024.03.08 결핵 증상에 대해 알아보고 결핵 쉽게 이해하기 (0) 2024.03.08 골다공증에 좋은 음식 BEST 5!! 골다공증이 있다면 필수로 챙겨야 하는 음식 (0) 2024.02.16 PET CT 검사 및 PET CT 검사 전 알고가면 도움되는 정보!! (0) 2024.02.15 입술 단순 포진 원인 알아보고 단순 포진 생기지 않도록 하기 (0) 2024.02.07